The new study provides proof of principle that functional liver cells can be grown in a different species, offering a potential solution to transplant shortage.

Researchers at the Chinese Academy of Sciences in Beijing have discovered a way to utilise interspecies blastocyst complementation to obtain transplantable human liver cells or whole organs in a suitable quantity, which could overcome the issues with donor shortages.
Globally, liver disease accounts for one in every 25 deaths, due to viral infections, alcohol abuse, obesity, or cancer. Although a liver transplant can be lifesaving for patients with end-stage liver disease, there are limitations related to donor shortage, and it is a technically challenging and invasive surgical procedure, with the requirement for lifelong immunosuppressive medication in the transplant recipients. The less invasive injection of dissociated human liver cells is an alternative option, but donor shortage remains a difficulty.
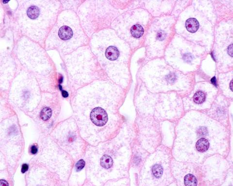
To discover whether liver cells grown in a different species would be fully functional, Dr Wei Li and his colleagues injected mouse embryonic stem cells into early rat embryos. The mouse-rat chimeras born from these engineered embryos contained mouse cells in most parts of the body including the livers. The percentage of live mouse liver cells enriched was up to 20.6 percent from chimeric livers.
In a panel of lab-based tests, the mouse liver cells grown in mouse-rat chimeras had normal appearance and mature function. Additionally, mouse liver cells from mouse-rat chimeras could be transplanted into mice with liver damage and had a similar therapeutic effect as normal mouse liver cells in relieving chronic liver fibrosis.
This data provides proof of principle that functional liver cells can be grown in a different species, offering a potential solution to transplant shortage. Moving forwards, more research is required to develop efficient techniques to grow human liver cells in large animals like pigs, and to investigate whether these human liver cells are fully functional.
This study was published in Stem Cell Reports.







