Researchers have found that mitochondrial dysfunction in the blood-brain barrier may drive neuropsychiatric disease in 22q11.2 deletion syndrome – and that a cholesterol drug could restore barrier function and ease symptoms.

In a new study led by the University of Pennsylvania School of Veterinary Medicine (Penn Vet) and Children’s Hospital of Philadelphia (CHOP), researchers found that mitochondrial dysfunction in the blood-brain barrier (BBB) may lead to neuropsychiatric disease in some patients with 22q11.2 deletion syndrome (22qDS). The team also demonstrated that a class of FDA-approved cholesterol drugs could potentially be repurposed to treat this dysfunction. These findings were published in Science Translational Medicine.
Focus on 22qDS and mitochondria
The BBB is a specialised vascular system that separates the brain from the rest of the body. Its maintenance is essential for healthy brain function and impairments have been linked to the development of neurological disorders including autism, schizophrenia and Alzheimer’s disease.
One unique feature of the BBB is its heightened mitochondrial content compared with peripheral endothelial cells. While mitochondrial dysfunction has been connected to neurodegenerative disorders, its role in the BBB remains poorly understood. Researchers turned to 22qDS – also known as DiGeorge syndrome – to investigate further.
BBB impairment in 22qDS
This genetic condition involves six mitochondrial genes and increases the risk of neurodegenerative diseases. Patients have a 25-fold higher risk of developing psychosis and one in four individuals with the syndrome develop schizophrenia.
We previously established that the BBB is compromised in 22qDS, indicating that the crosstalk between the brain and the periphery can be affected
“We previously established that the BBB is compromised in 22qDS, indicating that the crosstalk between the brain and the periphery can be affected,” says co-senior study author Dr Jorge Iván Alvarez, an associate professor of pathobiology at Penn Vet. “With these findings in mind, we addressed the hypothesis that mitochondrial deficits contribute to BBB dysfunction in 22qDS.”
“This study really demonstrates the power of collaboration,” said co-senior study author Stewart A. Anderson, MD, Associate Chair for Research in the department of child and adolescent psychiatry and behavioural sciences at CHOP. “By combining our respective expertise on mitochondrial function and the BBB, we have made an important discovery that may substantially help individuals with 22qDS.”
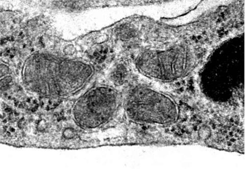
A genetic condition known as 22q.11.2 deletion syndrome is associated with an increased risk of mental illness. A Penn Vet and CHOP collaborative team found that mitochondrial function is required for proper BBB function. Importantly, an intervention aiming to improve mitochondria function reverts BBB deficits and improves behavioral outcomes in a preclinical model of 22qDS. An image taken through scanning electron microscopy shows healthy mitochondria in brain endothelial cells from 22qDS animals treated with bezafibrate (Image: courtesy of the Alvarez lab of the University of Pennsylvania School of Veterinary Medicine ).[/caption] Discovering a ‘leaky’ barrier
The researchers found impairment in the BBB, suggesting a leaky barrier. They used stem cell-derived brain microvascular endothelial cells from patients with 22qDS, as well as BBB endothelial cells, to find these deficits.
Repurposing an existing drug
The team showed that treatment with bezafibrate – a cholesterol-lowering drug that also stimulates mitochondrial activity – improved BBB function in both systems. In the preclinical model, bezafibrate treatment also corrected deficits in social memory – an abnormality tied to both BBB dysfunction and schizophrenia.
These findings suggest that this class of drugs could potentially be repurposed – pending validation in clinical trials. While the study focused on 22qDS, the researchers believe the implications could extend to other neuropsychiatric conditions in the future.
Topics
- Analytical Techniques
- Cell & Gene Therapy
- Children's Hospital of Philadelphia (CHOP)
- Disease Research
- Dr Jorge Iván Alvarez (Associate Professor of Pathobiology at Penn Vet)
- Drug Development
- Drug Discovery Processes
- Drug Repurposing
- Mitochondria
- Molecular Biology
- Neurological disorders
- Stem Cells
- Stewart A. Anderson (Associate Chair for Research in the department of child and adolescent psychiatry and behavioural sciences at CHOP)
- the University of Pennsylvania School of Veterinary Medicine (Penn Vet)
- Translational Science







