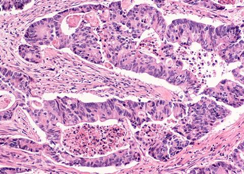
Organoid drug testing predicts bowel cancer treatment response

Image

A new study proves that organoid drug testing is highly accurate at predicting effective treatments and finds a novel therapeutic option.

Already a member? Sign in

Unlock

Intelligence for the future of drug discovery

By highlighting cutting-edge research and its practical applications, Drug Target Review enables readers to make decisions that accelerate innovation, translate discoveries into therapies, and create tangible benefits for patients worldwide.

Become a member to continue reading

By becoming a member you join a connected and collaborative community driving the industry forward. Member benefits include:

  • Unlimited access to industry intelligence that can make a difference to your business
  • A weekly newsletter keeping the most vital information at the front of your thinking
  • Exclusive invitations to powerful webinars and events featuring high profile experts
  • Access to deep-dive reports and analysis that reveal exciting new opportunities for business growth and transformation

Become a member