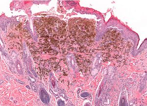
NGLY1 protein identified as potential target for melanoma treatment
Scientists in the United States have inadvertently uncovered a promising…
Scientists in the United States have inadvertently uncovered a promising treatment for melanoma that targets the NGLY1 gene.



