Researchers investigate gene network to identify “cancer driver genes”
The new study looked at the network of gene-gene interactions associated with cancer onset and progression to identify therapeutic targets.
List view / Grid view
The new study looked at the network of gene-gene interactions associated with cancer onset and progression to identify therapeutic targets.
Researchers demonstrate that inhibiting the LMTK3 kinase is an effective anticancer strategy in murine models of breast cancer.
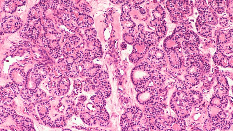
A study has shown that inhibiting sortilin, a neuroprotein known to have increased expression in cancers, reduces pancreatic cancer invasiveness in vitro.
We are on the precipice of realising the true potential of genomics studies. Following completion of the Human Genome Project six years ago, huge strides have been made in understanding how the genome works, shedding light on disease pathogenesis and forging therapeutic efforts. In this article, Pushpanathan Muthuirulan explains how…
20 June 2016 | By Victoria White, Digital Content Producer
Researchers have developed an innovative nanoplatform that allows them to effectively deliver RNAi agents to the sites of cancer and suppress tumour growth...
23 June 2015 | By Victoria White
Blueprint Medicines has announced the first preclinical data for its drug candidate BLU6864, a RET-specific kinase inhibitor.
22 October 2014 | By Rosetta Genomics Ltd
Rosetta Genomics Ltd. announces the initiation by the European Infrastructure for Translational Medicine, of a new public-private translational research project between Rosetta Genomics and the Institute of Molecular Translational Medicine (IMTM) at Palacky University, Olomouc, Czech Republic...